의학계산기 medcalc.co.kr
×
Splenic Index 계산기 (SI, 비장계수)
비장의 크기를 측정하는 방법
SI (cm²) = a(cm) × b(cm)
a: 비장의 최대 단면 영상에서 가로 직경(transverse diameter)
b: 비장의 최대 단면 영상에서 세로 직경(vertical diameter)
Grade 0: 비장이 시야에 보이지 않음
Grade I: 1–30 cm²
Grade II: 31–60 cm²
Grade III: 61–90 cm²
Grade IV: 91–120 cm²
Grade V: 121–150 cm²
Grade VI: >150 cm²
Reference :
Ishibashi H, Higuchi N, Shimamura R, Hirata Y, Kudo J, Niho Y. Sonographic assessment and grading of spleen size. J Clin Ultrasound. 1991 Jan;19(1):21-5. doi: 10.1002/jcu.1870190106. PMID: 1846375.
주의: Splenic index Grade 0–VI 는 임의로 정한 정량 지표입니다. 본 계산기 결과만으로 splenomegaly를 확정할 수 없으며, 연령/신장 (또는 체표면적) 보정 및 다른 임상 소견을 종합해 판단해야 합니다.
관련 계산기
갑상선 크기 부피 계산기 (Thyroid Volume Calculator)
Doppler Resistance Index (RI) 계산기
경동맥 초음파 NASCET criteria 계산기 (ICA stenosis)
경동맥 협착면적 측정기 (Carotid Artery Stenosis Measurement Tool)
Splenic Index 계산기 (SI, 비장계수)
복부초음파 판독 소견 입력 도구 (Abdominal Ultrasound Findings Entry Tool)
전립샘 크기, 전립샘특이항원밀도 계산기 (Prostate Volume, PSA density Calculator)
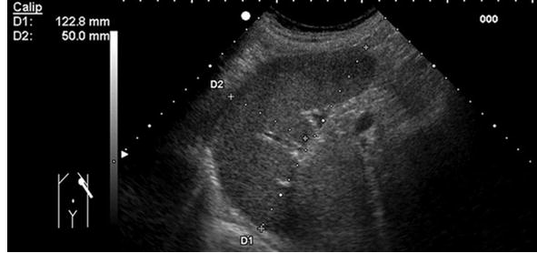
비장의 크기 측정
- 비장계수 (Splenic index, SI) ≥ 91 ㎠ (Grade 4 이상)
- 비장의 가장 긴 장축의 길이 ≥ 12 ㎝
- 초음파 한 화면을 넘을 경우 비장 비대 의심
비장 계수 구하는 방법 (Splenic index, SI)


- 비장이 폐에 의해 가려지는 것을 최소화하기 위해 Deep inspiration 동안 측정
- SI (cm²) = a(cm) × b(cm)
- a 는 비장의 최대 단면 영상에서의 가로 직경(transverse diameter), b 는 세로 직경(vertical diameter)을 의미
- Grade 0: 비장이 시야에 보이지 않음
- Grade I: 1–30 cm²
- Grade II: 31–60 cm²
- Grade III: 61–90 cm²
- Grade IV: 91–120 cm²
- Grade V: 121–150 cm²
- Grade VI: 150 cm² 초과
영상검사 관련 IMAGING
X