흉부 X-ray CT ratio 측정기 (CardioThoracic Ratio)
흉부 X-ray 사진을 업로드하여 CT ratio 를 계산합니다.
이미지 업로드
흉부 X-ray 이미지를 업로드하거나 클립보드에서 붙여넣기
PNG, JPG, GIF 형식 지원 | Ctrl+V로도 붙여넣기 가능
측정 영역
측정 정보
측정 정보
없음
측정 횟수
0
마우스 위치
0, 0
화면 DPI
96 DPI
사용법 안내
- 1단계: 흉부 X-ray 이미지를 업로드하거나 붙여넣기
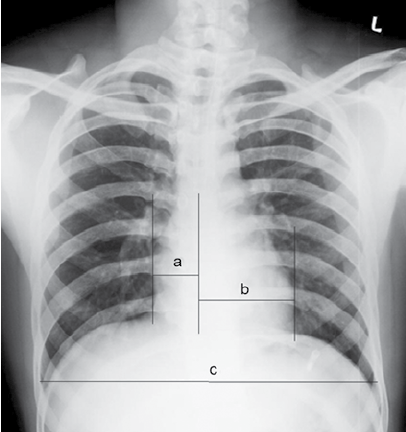
- 2단계: 수직선 그리기: X-ray 중간 (척추) 부위를 기준으로 위아래로 드래그하여 수직선을 그립니다
- 3단계: (a), (b) 선 그리기: 수직선에서 시작하여 좌우 심장 음영의 가장 튀어나온 부분까지 선을 그립니다 (순서 상관없음)
- 4단계: (c) 선 그리기: 흉곽의 가장 넓은 부분을 선택하여 수평으로 선을 그립니다
- 결과: CT ratio가 자동으로 계산 및 표시됩니다
CT ratio 계산 공식:
CT ratio = ((a) + (b)) / (c) × 100
※ (a), (b): 좌우 심장 폭, (c): 흉곽 폭
CT ratio = ((a) + (b)) / (c) × 100
※ (a), (b): 좌우 심장 폭, (c): 흉곽 폭


영상검사 관련 IMAGING
X